选择一个浪漫的地方,在最合适的时机拿出戒指跪地求婚,这听起来很不错。美国男子Isaiah Adams就决定给女友一个惊喜。那天他带女友来到马里兰州坎宁安瀑布(Cunningham Falls),刚开…
枪战并不是电影中才会有的场景。不久前,沙乌地阿拉伯利雅德(Riyadh)街头发生了一场激烈的枪战,警方将几名IS恐怖份子当场击毙,没有引发太严重的后果。附近居民将这一幕拍摄下来,只…
上厕所时遭遇意外,可能是世界上最尴尬的事了。不久前,大陆陕西榆林市就发生了一件可怕的事,当地一座老旧公厕发生爆炸,导致1人死亡,7人受伤。爆炸现场遍地瓦砖、墙身坍塌,看起来就…
很多人觉得自拍会给人带来负面影响,但31岁女子Justine McCabe却亲身证明,每天一张自拍能够帮助你坚持瘦身。一年前,Justine的母亲、丈夫接连去世,巨大的打击让她完全崩溃,只能靠…
随着新年的钟声敲响,一段崭新的时间开启。每年的跨年烟火是很多人不愿错过的大戏,这样的超high气氛乘以2,这感觉你一定想像不到。英国的一位电台主持人,在2017年做了一件疯狂的…
热爱美食的女生很可爱,对吧?她们一般不会无理取闹,就算偶尔生气,只要一顿美食就能让她们忘掉所有烦恼。不过她们也有不能触碰的底线,那就是不能抢她们的食物。英国男子Simon Hill…
很多为生活奔波、压力巨大的年轻人想过,退休后的日子该是怎样的天堂。但英国柴郡克鲁(Crewe)79岁老人June Humphreys却不这样想。她有7个孩子,只有一个经常与她联繫。这位没有生…
鲸鱼是国家二级保护动物,这样的庞然大物这次竟然出现在了江西省新余市一家公司,这实在是太奇怪了。根据一位网友的爆料,最近公司运来了一条8吨重的大鲸鱼,而且这条死去的鲸鱼相…
冬天的恶劣天气,车子一不小心在半路抛锚。如果这时候拖车公司不能及时赶到,一定要赶快寻求帮助。一位男子的车在半路抛锚,幸运的是遇上了好心的司机伸出援助之手。就在男子和司…
毒品带给人们危害,不仅仅是自身的伤痛,更是毁灭一个家庭的沉重代价。「摇头丸」作为一种流行的毒品,它的英文名字ecstasy正是「狂喜」的意思,然而摇头丸在英国造成的骇人听闻的…
最近在网路上流传一张图引起网友们的热烈讨论,一间幼稚园的老师,要小朋友带一条鱼来学校观察,结果照片中的小男孩带了一只跟大家都不一样的鱼出现十分爆笑,而超有创意的网友们,当…
伟大的物理学家牛顿,在生活中不断研究总结发现了伟大的牛顿三定律。生活中包含的物理知识就像一个个神奇的魔法,忍不住想要揭晓谜底。就像油不溶于水这样的物理现象,你能知道其…
恐怖组织IS在世界各地製造了多起惨案,不仅如此,他们还对十岁以下的儿童进行洗脑教育和战斗训练,这些孩子最终将成为战争的牺牲品。不久前,IS公布了一段童军训练影片,一名蹒跚学步…
乌克兰是个生产美女的国家,当地的女生各个天生丽质,大街上随处可见外表出众、打扮时尚的大正妹,不说还可能会以为是当地大明星呢!也因为那明星般的外在条件,让乌克兰新娘成为许多…
我们看过很多关于大白鲨的电影,里面的鲨鱼都是喋血怪物,无时无刻不渴望人类的鲜血。虽然科学研究发现,鲨鱼其实不喜欢吃人,但人类还是对牠们充满恐惧,毕竟那锋利的牙齿、巨大的身…
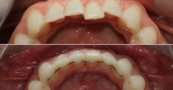
在很多人看来,牙齿不平整不是什幺了不起的大事,但长此以往很可能引发种种口腔问题。为了整牙,人们不得不戴上钢製牙套,既不美观又不方便。
▼现在牙科技师们发明了一款名为Inman…
猫咪和狗狗是很多人的萌宠,还有一群毛绒绒的小动物一样让你爱不释手,牠就是小名叫龙猫的小栗鼠。牠们圆圆的眼睛,稚嫩的小手和柔软的皮毛,就像一团随时卖萌的小可爱。尤其是刚出…
提起「恋童癖」,你的脑海中会浮现出怎幺样的想法?在我们的社会上,恋童癖就像是一个过街老鼠的存在,无论去到哪里,大家都很害怕他们会伤害我们的宝贝孩子;而事实上,全球已经有许多小…
许多流浪动物因为身体残疾而遭到抛弃,香港有只现年12岁黄金猎犬Colly,它在8,9个月的时候发生严重车祸而瘫痪,更惨的是被前主人遗弃在兽医院,从无法自由行动的Colly世界一片黑暗,哪…
喜欢电竞的朋友一定都认识Razer(雷蛇)这个品牌,Razer专门为电脑游戏需求量身打造各种电脑设备,从高端主机到周边配件,每样产品都能帮助玩家成为游戏世界中的恨角色!近日,Razer在201…