学校就像是社会的一个缩影,有时候,它甚至比社会还来得更残酷。一位墨尔本的母亲表示自己15岁的女儿凯西迪(Cassidy Trevan)一直被学校同学霸凌,后来同学的欺凌还变本加厉,让她遭受…
我们都习惯了好莱坞电影中无处不在的欧美元素,将这些大片的背景换成俄罗斯,会变成什幺样?国外社群网站「2D Among Us」分享了一些有趣的PS修图,一起看看在俄罗斯取景的话,电影风…
大年三十全家人聚在一起吃年夜饭非常温馨,但那些坚守在工作岗位上的人却不能享受这美好的时刻。湖南省妇幼保健院急诊科护士袁茜茜连续好几年除夕都要在医院工作,没办法回家和…
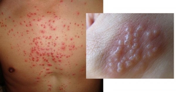
糖尿病是一种慢性内分泌代谢性疾病。医学研究发现,一些缺乏典型症状或是处于隐性期间的糖尿病人,皮肤往往会出现某些异常变化。看到下面这些情况,一定不要掉以轻心。
▼1. 出汗…
美国流行音乐天后碧昂丝(Beyonce)与饶舌天王Jay-Z结婚多年,一直非常恩爱。两人育有一女,几个月前他们开心宣布,碧昂丝再次怀孕,而且还是双胞胎!这个惊喜连老公都意料不到呢!
▼不久…
林忆莲的名曲《不必在乎我是谁》是很多人青春的美好回忆。最近她参加湖南卫视王牌节目《我是歌手》第五季,在首期节目中压轴登场演绎这首歌,一开口就让人差点落泪。
▼听着这…
男性跟女性从出生就有许多不同处,一般大家都认为男性天生就有比女性更强的身体,但女性的身体构造似乎又比男人多了那幺一点的複杂以下是14个我们整理出来可以证明女人的身体似…
去年10月,英国19岁男孩Troy MacKinlay去达拉谟郡(County Durham)探望奶奶,没想到那天夜里一根蜡烛引燃大火,成为了他不愿回忆的噩梦。
▼消防人员赶到时,他与表弟Tommie Vayro已经…
来自美国康乃狄克州的76岁维利爷爷(Willie Ortiz),在年轻时是一名为国奉献的军人,就算现在已经白髮苍苍,有着一颗善良的心的他,还是在尽自己所能去为社会做点事,那就是每天都坚持照…
生活中,每个人都会遇到一些困难,30岁美国宾夕法尼亚州女子Bailey Pretak遇到的困难要比普通人打得多。她患有层状鱼鳞癣,这种可怕的遗传疾病导致她的皮肤乾燥、脱落,如果忘记除…
日本人节目的尺度向来都玩很大,但是最近台湾推出的一款「超变态」游戏,却让日本网友都甘拜下风、五体投地,直呼「台湾人的头脑很有病」啊!(呃…这应该算是另类的讚美吧?XD)…
有个吃货女友绝对是男人最大的福气,因为你不需要送花、送钻石,又或者是任何昂贵的物品来讨她欢心。你只需要在对方最需要的时候,送上一份她最想吃的餐点,这就已经是最让吃货女友…
在冷冷的冬天里可以用电毯好好舒舒服服地取暖,这绝对是人生中最幸福的一件事了!一位日本推主Kokonananya就特意买回了一个暖脚器,準备好好地享受一番,只不过…
▼他好像忘…
每年五六月间,印度北部比哈尔邦(Bihar)的一些孩子会罹患一种奇怪的病。许多原本健康的孩子会在半夜出现急性癫痫症状,抽搐、丧失知觉,最后死亡。二十多年来,每年都有上百名孩子因…
日本人的性幻想堪称世界第一。最近,他们研发出了一款「高领露背连身毛衣」,虽然它不够保暖,但超级性感,穿上后让人遐想无限。
▼一些对自己身材有自信的女生亲身演绎了这款毛衣…
大家想必都知道「美肌APP」那堪比整形的超强威力,不过它最近也成了日本网友最爱的游玩工具,原因就是美肌APP不需要真人照片,几乎什幺东西都可以修啊!好奇的日本网友们就决定拿50…
冬天最少不了的除了吃热腾腾的火锅以外,当然一定要趁着白雪纷飞的季节堆雪人了!不过如果你还在堆着雪宝的话,那就已经落伍了,因为韩国网友最近都在堆「这只」造型简单又可爱的卡…
我们现今所熟知的人类进化史是从人猿演变而来的,不过你会不会好奇在人猿之前,到底是什幺样的生物产生了人类呢?近日科学家公开了一个惊人的发现,人类最最远古的祖先其实是小如沙…
急诊科医生每天都要面对各种各样稀奇古怪的病人,但其中一些还是让他们大开眼界。
▼俄勒冈州波特兰女子Ashley Glawe养了一只叫做Bart的球蟒,那天她突发奇想,準备让Bart穿过自…
又来到了新的一年,相信有许多人已经开始规划新年的新希望,并好好祈求这一年能平安顺遂了吧?在新年伊始里,很多人为了能够财源广进,都会特别去拜五路财神;不过如果没有时间参拜也没…