整型手术是现代相当发达的一项产业,其中南韩的整型技术更是赫赫有名;首尔江南区一家受欢迎的外科整形诊所大厅里,就放了两座很特别的「装置艺术」,但当大家知道里头的东西是什幺时,都不自觉地感到背脊发寒啊…
▼这个装置艺术看上去相当有视觉的冲击力,不过细看之后你可能会被里头的东西吓得不轻。

▼既然这是在整型诊所里摆放的,想必大家也猜到它跟整型有着密切的关联…

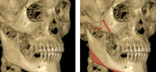
▼其实这些东西就来自于以下这张图片的手术…

▼是的!这就是常见的「正颚手术」,而它也被称为「削骨手术」,里头的装饰品就是病人脸上削下来的骨头!(抖)

▼这样的手术在大医院每天至少要做三到四例,而医生也指出来做手术的大多都是20到30岁的年轻女性,她们通常有国字脸、风字脸、长脸或扁脸的状况,不过也有一些是明明已经很瘦了,却还要求更瘦的类型。

▼这样的手术除了矫正戽斗外,也有很多人是为了让脸型变成「鹅蛋脸」。






