不要以为完全无害啊!
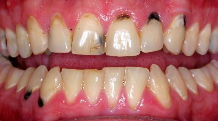
我们都知道,含糖的食物和饮料热量太高,可能会造成肥胖问题。但牙医们发现,儿童大量摄入糖还可能造成龋齿,这带来的危害更大。根据美国疾病预防控制中心的报告,龋齿已经成为儿童最常见的慢性病,2~11岁的孩子中,42%患有乳牙龋齿;6~11岁的孩子中,21%患有恆齿龋齿。为了治疗牙齿腐烂的情况,很多孩子被迫全身麻醉拔牙。
▼纽西兰的一名妈妈不小心在年幼孩子的杯子中装入碳酸汽水,一段时间后,孩子的牙齿严重腐烂,医生必须将他全身麻醉,才可以拔除他的11颗坏牙。

▼牙医表示,仅仅1年的时间,他已经为不同的孩子拔了不少牙,累积达到60颗。

▼其实给孩子喝含糖饮料的问题不仅出现在纽西兰,孩子们的生活中随处可以见到糖分。学校的自动贩卖机中有糖果,很多家长还专门买甜食供孩子打发时间。汽水、甜食……孩子们摄取过多糖的结果,就是可怕的龋齿。

▼养成良好的牙齿清洁习惯非常重要,但调整孩子的饮食也不能忽略。有人认为标注「无糖」的食物就不会对牙齿产生危害,这样的想法其实是错误的。无糖食品、饮料确实能够减少糖分的摄入,但其中含有的酸性调味剂也会腐蚀牙齿,进一步侵蚀牙齿内部结构。





