谈到肿瘤大家都会脸色歪掉,如果发现自己身上有肿瘤更是会瞬间绝望。但是下面这名年轻人却完全不一样,他第一时间知道自己的脑部有肿瘤时,只是愣了一下,接着就有了让大家都感到超不可思议的想法。
他最后做的事连医生也不敢置信!
▼图片中就是主人公史蒂文基廷。

基廷在麻省理工的高级研究室研究3D列印和合成生物製造,出于好奇他在2007年参与了大脑研究。刚开始研究者检测到基廷的脑部有阴影,但他并未感觉自己有太大的异常,所以医生和他都没太在意。
▼医生发现基廷脑部的肿瘤阴影。

然而七年之后,也就是2014年,肿瘤竟然发展到了棒球大小,甚至影响了他的嗅觉。
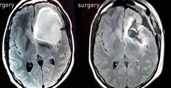
▼肿瘤足足有棒球大小,位于左侧大脑,紧靠嗅觉神经区域


情况糟糕到不得不进行手术,在为期三个月的準备之后基廷开始了这场历时10个小时的手术,这个科学怪人要求手术过程全程录像,幸运的是手术很成功,之后的化疗用了一年的时间。
▼手术后的基廷看起来恢复的不错!

▼手术后他索取研究自己的手术录像数据甚至是自己的脑部肿瘤,他还对自己的肿瘤进行了解剖、切割、染色,获得了自己脑部研究的第一数据。

基廷说:「科学的数据可以更好地了解病情,甚至更好的通过数据预知自己的未来。这也可以帮助其他人了解自己会经历什幺。」
▼上週六他在非营利机构的演讲,媒体甚至发现他已经被苹果聘请当员工了!
基廷的事情可以鼓励好多患者正视自己的情况,一切说不定都往好的放向发展。未来的医学水平不可预测,生活中总是有那幺多的奇蹟发生。将文章分享出去,快让更多人看到吧。





