妇产科医生们迎接过许多的新生命,但偶尔也会有些案例让他们大吃一惊。一位香港的医生就曾经遇到一个「腹部肿大」的女婴,他本来以为婴儿腹中有着肿瘤,但解剖后才发现是更令人难以置信的东西…
▼这是发生在香港的知名案例。当时这位新生的女婴腹部高高隆起,医生认为她腹中应该是充满了肿块,準备动手术进行切除,但在检查过程中,却发现了腹中是更糟糕的东西。

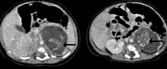
▼透过超音波检查,医生发现在女婴的脊椎和内脏间,有着诡异的两团组织,但看起来绝不是肿瘤!经过详细鉴定后,才确定那是两个胚胎!也就是说,这位女婴身体内还有着一个8週大和10週大的宝宝。

▼这种罕见的状况被称作「胎内胎」(fetal inclusion),原因是母亲本来怀了双胞胎或三胞胎,但在子宫发育的初期,其中一名胎儿把其他胚胎包入体内生长,因而产生这种异常现象。目前全世界只有几百个类似案例,医生指出,也有很多胚胎在体内就萎缩死去,因此很多人不知道身体内曾有「兄弟姊妹」生长!

▼这类案例最有名的例子发生在1999年的印度,当时Sanju Bhagat出生时就腹部肿胀,但因为家境问题,父母从未带他就医。直到成年Sanju Bhagat自己去看诊时,才从肚子里拿出一个完整的人形胚胎…

隐藏在香港小女婴体内的两个胚胎虽然已发展出脐带、四肢、脊椎、肠道和脑组织,但最后医生也只能把他们移除。这样的医学案例实在令人难以置信,不过它还是在世界上不断发生,太奇妙了!





