新闻看得越多就能发现真实世界中发生的事件,往往比电影、小说的剧情都来得更加离奇,前阵子发生在日本一位16岁少女身上的事情又再度证明了这个道理。这位少女在进行盲肠手术时,竟在腹中发现「一颗脑」,而且医师还发现,这颗脑袋还持续的在发送神经信号!
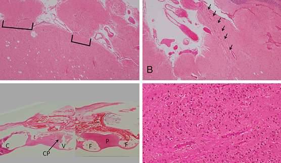
▼据外媒报导,前日有位日本16岁少女,在接受盲肠切除手术的过程中,在卵巢中发现一颗10公分大小的肿瘤。当医师切除肿瘤后,竟在肿瘤中发现一坨髮丝以及萎缩后的「脑」。这颗藏在肿瘤内,约3公分大小的「微型脑」形状与小脑相似,不仅有一层薄薄的颅骨覆盖,还有一团油腻的头髮。这个微型脑除了有着近似大脑的构造外,甚至能发出神经讯号。

▼医师在研究后发现,这颗「微型脑」其实是一颗畸胎瘤(teratomas),是因为未成熟的卵细胞发生病变,所产生不同的身体部位,例如头髮,牙齿,软骨,脂肪或肌肉,只要动手术切除就可以治癒。日本滋贺县成人医疗中心研究肿瘤的新宅雅幸博士表示,「卵巢畸胎瘤中发现脑细胞并不稀奇,这个案特别的是能够组织成正确的大脑结构,甚至可以像正常脑那样在神经细胞之间传递信号。」事实上,这位16岁少女确实在切除肿瘤后恢复健康,也没有留下任何后遗症。不过以前也曾有一些卵巢畸形瘤患者发生性情变化、变得偏执,或是出现癫痫,失忆等症状。

一个人身上有两颗的情形通常只会发生在连体婴的身上,但是没想到卵巢中竟然也会发生这种病变,长出另一颗近似于小脑的结构的肿瘤,如果这颗脑袋还具有思考的能力那一定会发生不堪设想的后果吧!(觉得很适合当成恐怖片题材)





