每个人有两只手臂、两条腿,这是我们从小就知道的简单人体结构知识。但世界之大,无奇不有,印度北方邦22岁男子Arun Kumar就与众不同,他天生有4条腿。除了正常的腿外,还有两条在下背部,其中一条发育不充分,另一条膝盖一直弯曲。
▼Arun的妈妈表示,他出生时体型与正常孩子没有差别,只是多了两条腿。

▼Arun通过社群网站请求医学帮助,希望能够切除多余的腿。虽然他能够像正常人一样行走,但背后的腿却阻碍了他行走的能力,也损害了他的姿势。

▼不久前,一支专家团队回覆了Arun的请求,并组织检查,想要弄清楚这两条腿是如何与身体连接在一起的。

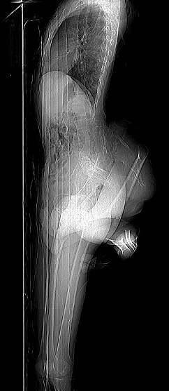
▼最近给他做检查的医生表示,他们想要弄清楚Arun背后两条腿的血液供应来自何处,是否有多余的肾脏、尿道和膀胱。


▼经过检查,他们发现Arun有多余的骨盆,详细情况还需要进一步检查。


如果切除背后的腿,Arun就能像正常人一样运动。他表示自己已经做好了準备,随时都可以手术。虽然当地人都不在意Arun的不同,他和家人还是想要努力恢复。能够正常运动,不受背后两条腿的限制生活,是他一直以来的梦想。





